Smile Transformation Stories

Explore how Areos Dental helped patients overcome dental challenges and achieve confident smiles.

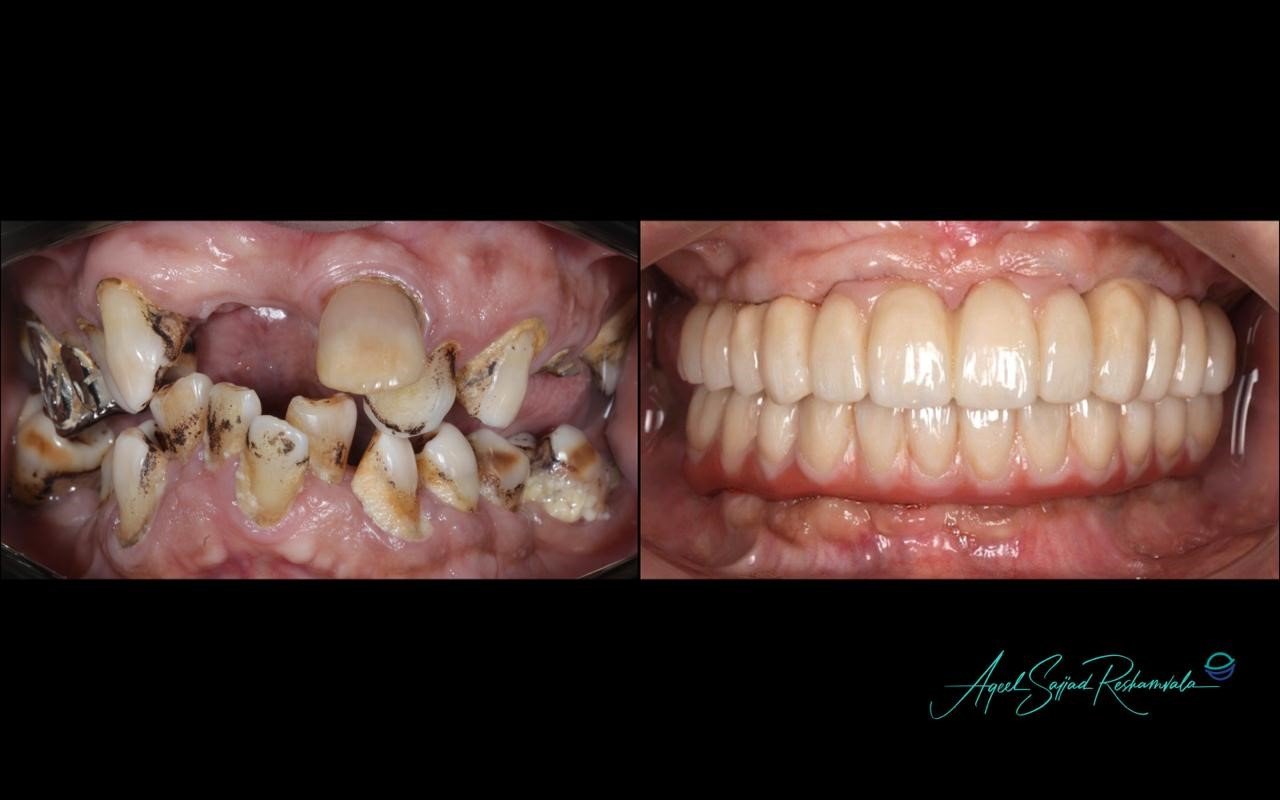
Prakash Tamhane

Our patient came to us with severely maligned teeth, advanced periodontal problems, mobility and constant halitosis that affected his confidence and daily life.

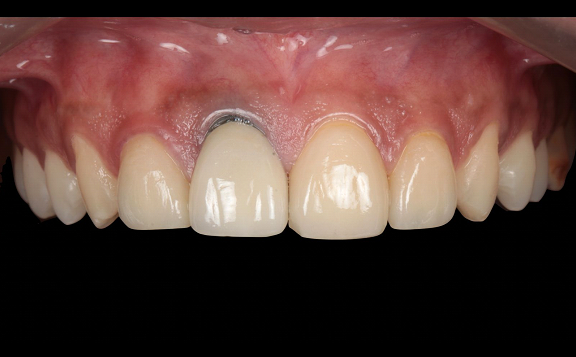
Sumit Agarwal

Our patient traveled from Ahmedabad to Mumbai for front tooth treatment after trauma caused a fracture.

Jhansi Turoga

Our patient came to us with a concern of spacing between the front teeth and an incomplete smile line.

Parth Shah

Our patient, a dentist himself, came to us with a challenging anterior case - Fractured front tooth.

Aruna Akre

Our patient came to us with a set of broken teeth, difficulty in chewing and constant discomfort.